
65岁的王大叔喜欢吃海鲜,但前段时间却茶饭不思,进食困难,吃什么吐什么。去当地医院检查后,CT结果显示食管扩张、食管下段壁增厚。经过禁食、输液等治疗,患者病情有所好转,但试探着吃了一些流食,病情又反复了。辗转了当地多家医院诊治均不见效,家人决定带王大叔到上级医院治疗。
晚上8点多,王大叔被家人送到烟台山医院东院急诊科。消化内科值班医生乔雪静会诊后将患者收入消化内一科住院,给予相应的对症处理。经过耐心细致的问诊和体格检查,乔雪静发现患者是在进食海螺肉之后出现的症状,考虑是异物导致的食管不完全梗阻。
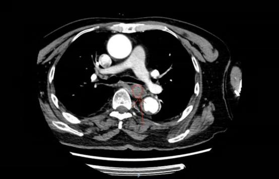
第二天一早,消化内一科主任任珺与乔雪静一起查看了患者的情况,急查了食道增强CT,可见食管内高密度影,考虑有异物。医疗小组人员经详细的病例讨论,决定进行内镜下食道异物取出术。

食道增强CT结果显示食管内高密度影。
因患者有脑出血病史,目前有半侧肢体偏瘫、失语的后遗症,还有房颤、高血压等多种疾病,手术风险较高。在重症医学科等多专业共同会诊后,任珺主任术前带领消化内科医疗团队制定详细的手术方案及多个替代应急方案。手术在全麻下进行,由乔雪静实施,随着内镜缓缓进入患者食道,情况一目了然——果然是海螺肉搞的怪。海螺肉很“狡猾”,异物取出钳、圈套器轮番上阵,在医护的默契配合下,乔雪静凭借扎实的内镜诊疗技术,将这枚“藏匿”在王大叔食管内多日的海螺肉揪了出来。

内镜下揪出“藏匿”的海螺肉。
经历了多家医院的诊疗,被海螺肉折磨多日的王大叔,术后病情平稳,不久后又能尽情地享受人间美味了。“病情研判能掐会算,镜下取物医术精湛”“妙手仁心解消化难题,医德高尚护百姓健康”“白衣天使爱心无限,精心护理患者称赞”……提起消化内一科的医生护士,王大叔和家人赞不绝口。

据乔雪静介绍,食管异物是常见急症之一,可发生在任何年龄,以老年人居多。因大块异物暂时停留在食管部位狭窄处,会堵塞食管甚至是气道引起并发症,严重时会危及生命,故必须正确诊断,及时处理。近期接诊食管异物的病例特别多,异物的种类也不尽相同,有脱落的牙齿/义齿、枣核、难以消化的食物、没有剥开铝塑锡箔壳包装的药片等等。
在此,消化内科医生提醒大家,预防食管异物应注意以下几点:细嚼慢咽,勿匆忙进食;给予老人和孩子更多关注,老年人要防止牙齿/义齿脱落,儿童应避免将玩具放入口中玩耍;异物误入食管后应及时就医,切忌用馒头、醋等强行下咽,以免延误病情,增加异物取出难度。