
一岁幼儿右手食指、中指、环指三指离断,情况危急;血管细如发丝,内径不足0.2毫米,再植难度极大……日前,烟台山医院东院手外二科联合麻醉科、手术室、外科重症监护病房,完成了一例幼儿多指断指再植手术,刷新了医院在低龄幼儿、多指、多节段断指再植方面的手术纪录,让原本“不可能”完成的手术变为现实,保住了幼儿的手指。

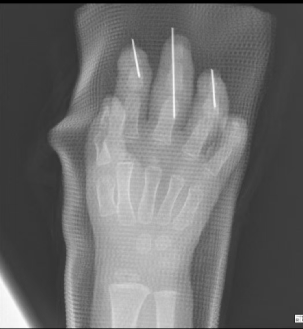
患儿的食指、中指、环指中远端多节段离断。
2月9日下午4点,一位抱着孩子的家长急匆匆地冲进东院急诊科,神色慌张地告诉医生,自己的孩子在玩耍时不慎被三角带绞断手指。接诊的医师发现,患儿的食指、中指、环指中远端多节段离断,创面渗血不止,在为他完成止血、包扎及影像学检查后,将其转入东院手外二科病房。
东院手外二科接诊医师程旭迅速完成初步伤情评估及术前准备,护士林连芳及时为患儿建立静脉通路,并完善相关检查。入科不到30分钟,患儿就被送到了手术室。程旭、王亚鹏两位医师召集团队,迅速完善手术方案。鉴于患儿代谢快、耐受差,术中宜采用“精准把控+术中体温保护”的方式,全程监测生命体征,确保手术安全。
该患儿手术区域的血管内径不足0.2毫米,细如发丝,再植难度远超成人。术中需在放大25-40倍的高倍显微镜下,用比头发丝还细的显微缝线,在不足1毫米的操作空间中完成血管、神经的精准对接。每一针仅有一次机会,稍有不慎都会导致血管痉挛或栓塞,手术失败。术中,医生发现患儿的手指指动脉严重挫伤,主干血管多处栓塞、断裂,无法直接吻合,面对这一难题,果断采用“静脉移植桥接”技术,从患儿腕部取5厘米浅静脉,重建血运通路,而这无疑再次提升了手术的操作难度。经过6小时的奋战,患儿离断的手指逐渐恢复红润,手术结束。

医生及时为患儿接上断指。
术后,东院手外二科医师密切关注患儿病情;护士给予精心呵护,耐心安抚他的心情。
手术成功仅是第一步,术后72小时是血管危象的高发期。患儿哭闹易引发血管痉挛,术后8小时需要外科重症医学团队精细调控生命体征;回到普通病房后,更需医护人员“百般呵护”,通过安抚与制动等确保再植指体顺利存活。目前,该患儿手指血运恢复良好,现已转入康复观察阶段。
每一例幼儿断指再植的成功,都是医学技术与人文关怀的双重胜利。从亚毫米级血管的精密缝合,再到术后日夜守护的细致关怀,都离不开医护人员的专业素养和仁心大爱。从技术精进到服务升温,从单科攻坚到多学科并进,全体医护人员用专业与爱心再次证明:生命的奇迹,始于毫厘之间的执着,成于永不言弃的信念。