
近日,面对一例血管条件极差,并带有心脏起搏器的高龄肺部肿瘤患者,烟台山医院南院肿瘤内二科护理团队凭借多年PICC置管经验和细致入微的护理评估,成功完成PICC置管术,为患者解决了输液难的问题。
据了解,该患者今年76岁,曾患高血压、阵发性心房颤动多年,2023年植入心脏起搏器。半年前,患者反复咳嗽、咳白痰,CT检查提示肺部占位,症状进行性加重。辗转多家医院治疗效果不明显,来到烟台山医院南院肿瘤内二科就诊。
“患者外周血管条件极差,输注化疗药物以及脂肪乳、氯化钾等高渗性药物,极易使血管破坏或药物外渗,导致局部组织坏死。为了后期治疗的安全顺利进行,需要置入PICC导管。”南院肿瘤内二科护士长宫新玲介绍,为该患者置入PICC导管的难点在于,胸部CT显示心脏起搏器置于患者左侧锁骨下,两根电极导线经锁骨下静脉、头臂静脉、上腔静脉进入右心房和右心室。如果PICC导管从左手臂置入,其走行途径与心脏起搏器植入电极导线的走行途径大部分是相同的,这不仅会使穿刺部位的选择受限,还极易导致送管过程不顺畅。
面对置管难题,南院肿瘤内二科护理团队认真分析患者病情,与医疗团队共同研究起搏器的走行血管及起搏原理,查看起搏器的功能和状态,并与南院内二科医师确认携带起搏器注意事项及遇到突发情况的应急措施等。经过反复的评估,最终选择从右侧贵要静脉进行置管。
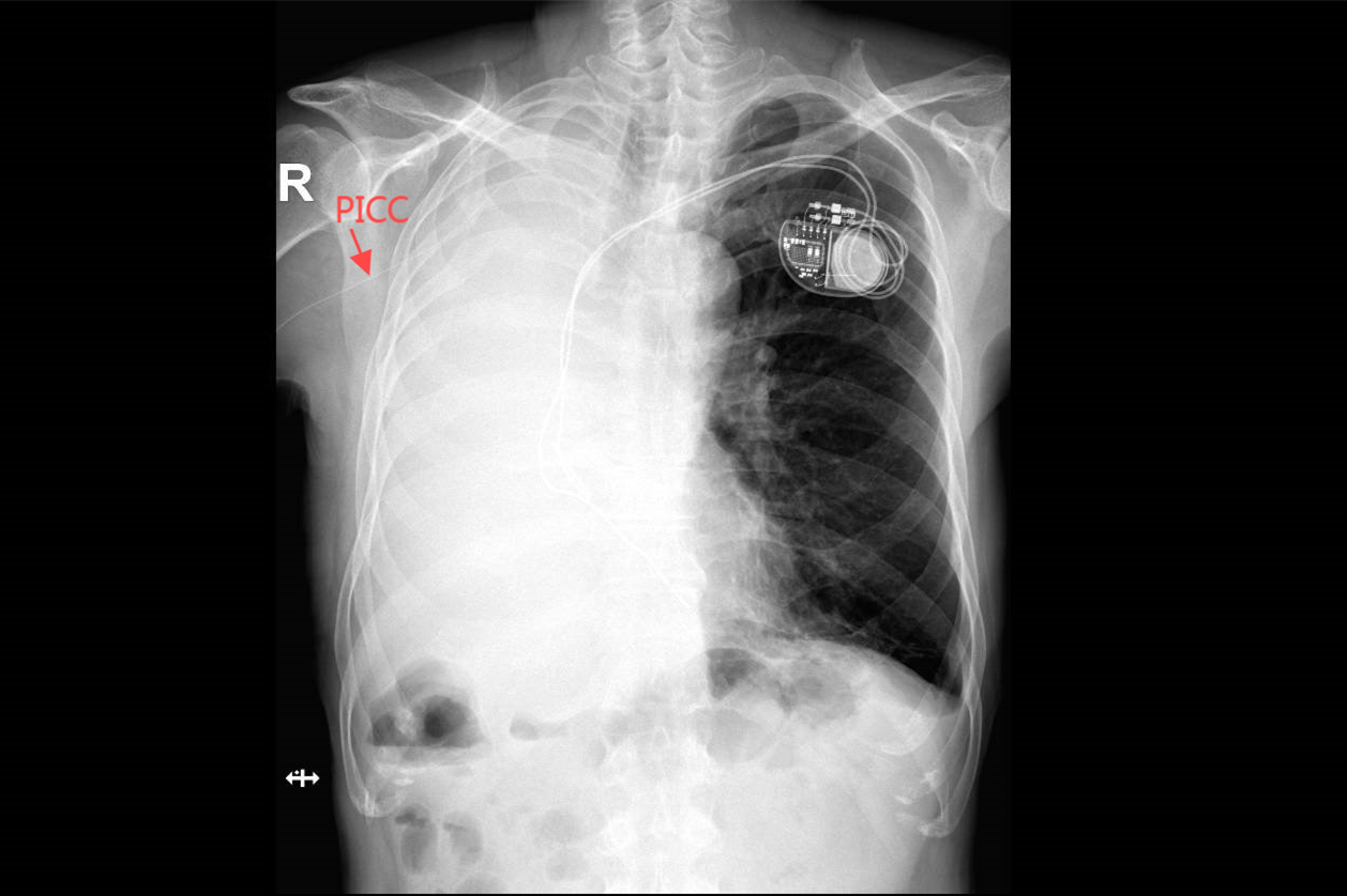
为保障患者安全,置管过程中全程进行心电监护,并给予心理护理,缓解患者的紧张情绪。凭借丰富的临床经验以及前期的充分准备,PICC置管工作顺利完成,置管术后胸部正位片(DR)显示置管位置良好。在化疗过程中仍密切观察患者是否有心律失常的表现,并结合中医护理,采用埋针、耳穴治疗缓解化疗后不良反应,效果明显。患者化疗顺利结束,安全出院。针对这种病情特殊的患者,肿瘤内二科加强了后期的随访工作,以便及时准确追踪到患者的病情变化,提供延续性护理服务。

置管术后胸部正位片(DR)显示置管位置良好。

南院肿瘤内二科护理团队为患者实施耳穴治疗,缓解化疗后不良反应。
随着人口老龄化加剧,置入心脏起搏器的患者越来越多。烟台山医院护理团队也将继续精进技术,改进服务,为更多患者安全置入PICC导管提供保障。