
脑溢血又称脑出血,是严重威胁人类健康的危急重症,具有高致残率、高致死率等特点。日前,烟台山医院东院神经外科胡佳主任医师团队为一位脑出血的务工青年完成了神经内镜下脑出血微创手术,取得了理想效果。
据悉,该患者患有高血压,但未规范控制。前几天的一个晚上,突发头痛,言语不清,右侧肢体无力,继而昏迷。此后,他被工友紧急送到了烟台山医院东院区。该患者为外来务工人员,单身,经济条件较差,但病情危重,不容等待,医院及时开通“绿色通道”。经查,该患者患有高血压脑出血,脑疝前期,此后被收住到外科重症监护病房。
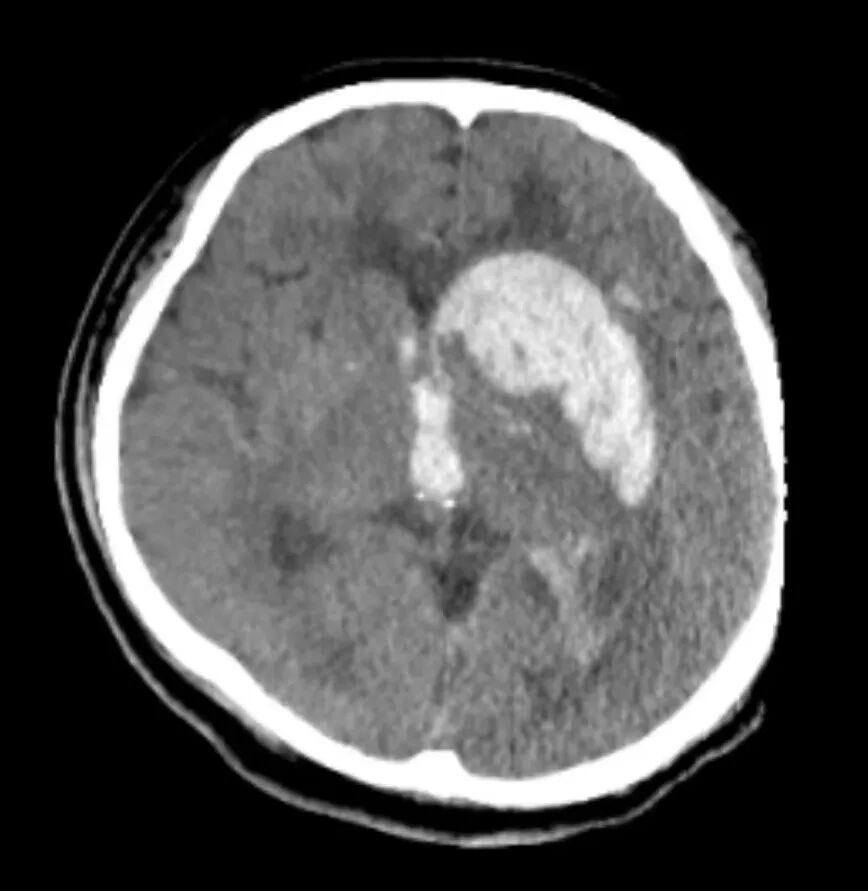
该患者的术前颅脑CT检查。
紧接着,东院神经外科胡佳主任医师、薛昆副主任医师、孔令伟主治医师与东院外科重症监护病房张艳副主任医师、麻醉科李妍主治医师一起进行病例讨论,决定为患者实施神经内镜下脑内血肿清除术,在挽救生命的前提下最大限度地保留神经功能,减少残疾的发生。
术中,胡佳主任医师、薛昆副主任医师密切协作,以直切口的形式,开直径约3cm小骨窗,在神经内镜的直视下彻底清除脑内血肿。手术历时2个多小时结束。术后次日,患者神志转为清醒,复查显示,血肿清除理想。第2天,顺利拔除气管插管,返回神经外科病房。经过系统治疗后,患者恢复良好,并于术后第10天出院。
术后次日复查颅脑CT,右侧箭头所指为小骨窗。
脑出血是一种常见的高血压病的严重并发症,是“中风”的一种。既往主要通过开颅手术,清除血肿并去除骨瓣减压治疗,手术创伤大,且需要二次手术修补颅骨缺损。
近年来,随着医疗技术的进步,神经内镜下脑内血肿清除术逐步在临床得到推广应用。该手术具有微创、精准、可视化等特点,仅需在头皮上切开约6-8cm切口,颅骨上直径3cm小骨窗,置入直径约1.5cm手术通道即可清除脑内血肿。该术式具有创伤小、手术时间短、术中直视下清除血肿并止血、术后骨瓣复位避免二次手术颅骨修补、住院时间短、治疗费用相对较低等优点。
经过多年的发展,烟台山医院东院神经外科对脑出血的手术治疗更加多样化、个性化,形成了“以开颅血肿清除手术为基础,以方体定向微创穿刺引流为特色,以神经内镜微创血肿清除术为新技术”的治疗特色,并取得了较好的治疗效果。鉴于脑出血发病急、病情重等特点,医院不断完善救治体系及多学科会诊制度,确保危急重症患者能够得到及时有效抢救,保障救治效果。