
近日,烟台山医院呼吸与危重症医学科成功运用呼吸硬镜技术,为一位肺癌患者解决了严重的呼吸难题,使其重新恢复顺畅呼吸,生活质量得到显著提升。这一技术的应用,将为肺癌合并气道狭窄患者的治疗带来新希望。

该患者左肺癌术后3年,近期因突发喘憋6天,就诊于当地医院,治疗效果不明显。辗转多家医院求医无果后,来烟台山医院呼吸与危重症医学科就诊。
患者入院时病情再次加重,氧饱和度一度下降至80%。接诊医师了解患者情况后,立刻组织MDT讨论,认为患者病情加重,考虑肺部肿瘤进展压迫主气管,左侧支气管完全被肿瘤堵塞。
情况危急,东院呼吸与危重症医学一科主任费建文带领团队召开术前病例讨论会,一致决定为患者实施硬质气管镜下肿瘤切除手术。
一小时后,手术开始。术者插入硬质气管镜检查,可见肿瘤压迫主气管,其狭窄程度高达90%,左支气管完全堵塞。如患者延迟手术,则有极大可能肿瘤完全堵塞气管导致窒息。

术中气管镜下显示肿瘤基本完全堵塞气管管腔。
手术由费建文指导,呼吸与危重症医学科、支气管镜室、手术室、麻醉科等多学科医护人员共同配合,呼吸介入团队数秒内插入硬质气管镜,应用圈套器、电刀、氩气刀、冷冻术等操作技术去除大量肿瘤组织及坏死物。

术中取出的肿瘤组织及坏死物。
经过一个小时的紧张手术,成功打通患者主气管、左主支气管、右主支气管及远端支气管,患者血氧饱和度恢复至95%以上,且术中出血量非常少。拔除硬质气管镜后,术后两个小时患者苏醒,呼吸困难症状明显减轻,可自由行走。

术后支气管镜下显示患者支气管显著通畅。
由于该例肿瘤生长迅速,极有可能在短期内增大而再次堵塞管腔、影响呼吸。介入团队经讨论后,提出两种后续治疗方案:一是进行气管镜下肿瘤内药物注射,即将抗肿瘤药物在支气管镜下直接注入肿瘤组织内,使肿瘤组织坏死,从而抑制其生长;二是放置气道支架,将肿瘤阻挡在气道之外,保证呼吸通畅。
向患者及其家属告知手术的必要性及风险,征得其同意后,介入团队积极准备。一方面能否进行支气管腔内肿瘤药物注射取决于肿瘤的类型,因此与病理科积极沟通,争取尽早取得病理结果;一方面订购支架,准备气道支架置入。然而该患者的病理结果显示并不适合药物注射,因此只剩下支架置入一条路了。而且在术后第4天复查支气管镜时发现,肿瘤已经再次长入气管和左右主支气管内,提示肿瘤生长速度极快,恶性程度极高。
呼吸介入团队争分夺秒,在青岛大学附属医院程兆忠教授的指导下,成功为患者置入Y型金属支架一枚。置入的支架完美贴合气管和支气管管壁,起到了支撑气道、阻隔肿瘤生长的作用,为后续的全身治疗争取了时间。

支气管镜下见气道内已置入支架,气道通气良好。

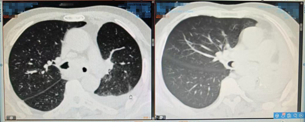
治疗前后影像结果对比。右图为治疗后,显示左肺完全复张,恢复功能。
术后,患者无任何不适,对后续的治疗充满信心。
科室简介
烟台市烟台山医院呼吸与危重症医学科(PCCM)前身为呼吸内科,于1991年独立建科,是烟台市首个呼吸专业重点学科、山东省医药卫生重点学科、山东省公共卫生重点专科、山东省呼吸疾病研究所-烟台站、国家医防协同医防融合试点单位、全国第三批肺功能检查规范化培训中心、省级呼吸内镜诊疗技术临床应用规范化培训基地。是滨州医学院的硕士培养基地、住院医师规范化培训基地。
科室现已成为集医疗、教学、科研为一体,门诊、病房统一管理的优势学科,设三个病区及呼吸重症监护病房(RICU),共150余张编制床位,10个亚专业及相应特色门诊,2024年门诊量5万余人次,出院患者1万余人次。
科室呼吸介入团队擅长开展包括气管镜、胸腔镜、超声支气管镜、TBNA、CT引导经皮肺穿刺、冷冻术、氩气刀、右心漂浮导管、圈套、冷冻、APC、电刀、球囊扩张、支架、内科胸腔镜、经皮肺穿刺活检等技术在内的介入呼吸病学技术,2024年手术量3800余例次,特色技术应用比例达60.5%。
学科带头人简介

费建文,烟台市烟台山医院呼吸与危重症医学科主任、主任医师、三级教授、医学博士、硕士生导师、诊断教研室主任,山东省医药卫生重点学科带头人、山东省公共卫生重点专科带头人、山东省呼吸疾病研究所-烟台站负责人、全国肺功能规范化培训中心负责人,山东省人大代表。主要从事肺栓塞与肺血管病、慢性气道炎症、间质性肺疾病等相关研究。擅长呼吸衰竭、肺栓塞等呼吸系统急危重症,慢阻肺、哮喘、肺癌、支气管扩张、肺心病、肺纤维化等慢性呼吸系统疾病,以及支气管镜、内科胸腔镜等肺脏介入治疗。