
日前,烟台山医院创伤中心借助骨科手术机器人,为一位老年患者成功完成骨盆骨折手术。

石家庄70多岁的李先生来烟旅游时不幸遭遇严重车祸,被紧急送至烟台山医院东院急诊科。医院第一时间开启创伤救治“绿色通道”,并快速完成补液、输血等抢救措施。待其生命体征平稳后,完善相关检查,诊断为创伤性休克、骨盆骨折、脑挫伤及桡骨骨折。
因患者年事已高、伤情严重且为多发伤,被迅速收治到外科重症监护病房。病情稳定后,创伤中心副主任医师李宏彦组织全科进行病例讨论。专家团队一致认为:鉴于其骨盆骨折类型和年龄,可借助骨科机器人导航,实施骶髂螺钉固定术,该术式精准度高、创伤小、出血少;采用In-fix内固定的方式解决前环损伤的问题,这同样属于微创手术。患者家属在了解到烟台山医院的骨科机器人手术量位居全国前列之后,对医院的技术实力更加信任,决定在此进行手术。
李宏彦、曲高伟两位副主任医师共同为患者施行手术。整台手术的出血量仅30毫升,术后患者很快苏醒,双下肢感觉与活动均无异常。

术中在机器人的导航下顺利植入骶髂螺钉。

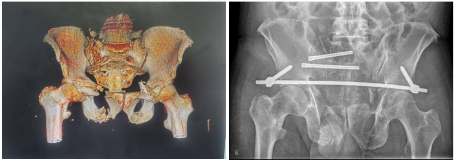
术前CT检查及术后X线检查。(翻拍图片)
当前,严重创伤已成为致残和致死的重要原因之一,其救治具有突发性、紧迫性和多学科协作要求高等特点。作为省级创伤中心,烟台山医院创伤中心始终秉持“以患者为中心”的理念,紧盯精准化、微创化、智能化的骨科手术发展方向,精进技术,整合院前急救、远程转运、院内抢救与重症监护等关键环节,实现与急诊、手术室、ICU的无缝衔接,为患者提供快速、全面、有效的综合救治。
烟台山医院骨科作为省级临床重点专科,早在2016年,就在全省范围内率先开展骨科机器人手术。截至目前已完成相关手术4000余台,手术量持续位居全国前列。机器人“上台”,原本复杂的骨科手术变得更加精准、微创,显著提升了手术精度,减少了组织损伤,真正实现了更少出血、更短时间和更快康复,使越来越多的患者受益。