
近日,烟台山医院创伤中心李宏彦副主任医师及其团队,运用Starr架巧妙复位,利用机器人精准置钉,为复杂骨盆骨折患者实施手术。术中透视验证,骨盆达到基本解剖复位,通过几处不足3厘米的微小切口,便完成骶髂螺钉、前柱螺钉的固定,彰显出该术式出血少、创伤小、恢复快的显著优势。

李宏彦副主任医师与王智贤护师正在安放Starr架。

借助机器人的导航完成骶髂螺钉规划。
据悉,骨盆骨折作为一种严重创伤,约占全身骨折的3%-8%,在严重创伤患者中占比更是高达10%-20%,多由高能量暴力引发,致残率达30%-40%,急性期死亡率也在10%-20%之间。由于骨盆解剖结构复杂,紧邻诸多重要器官及血管神经,骨盆骨折手术长期以来被视为骨科领域复杂程度高、风险系数大的手术之一。
在传统治疗中,骨盆骨折手术有着20厘米以上的长切口,甚至需解剖半个骨盆环才能暴露骨折端,从而进行复位和多块钢板内固定,不仅手术创伤大、出血量多,麻醉及手术风险也极高。同时,传统骨盆切开手术需等待一周左右,待患者血流动力学稳定后才能实施,且术前需提前备血、术中需输血,既延长了患者的治疗周期,也增加了患者的痛苦与经济负担。
与传统手术相比,骨盆闭合复位机器人手术具有显著优势,创伤小、出血少,患者受伤后可直接接受手术,无需长时间等待,大幅缩短住院时间,有效降低患者痛苦。此次李宏彦团队开展的手术,正是依托这一技术优势,结合Starr架巧妙复位,实现了复杂骨盆骨折的精准微创治疗,为患者带来了更优质的诊疗体验。

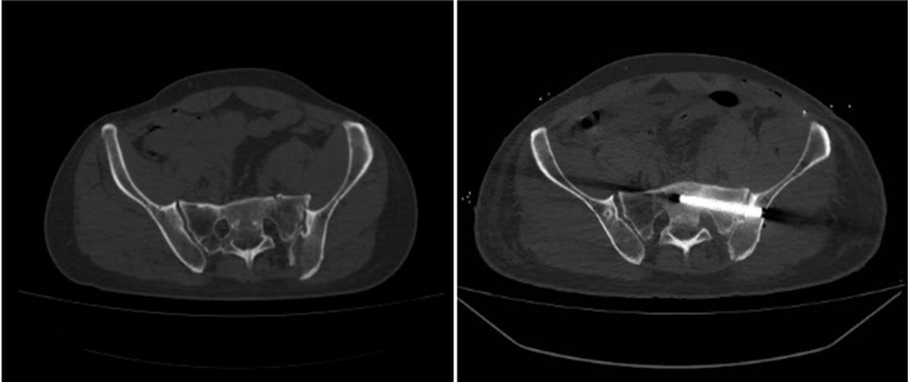
术前影像(左图)及术后影像(右图)对比显示,该患者的骨盆完全复位。
随着医疗科技的不断发展,精准化、微创化、智能化已成为骨科手术的重要发展趋势。烟台山医院骨科作为省级临床重点专科,在全国范围内较早开展骨科机器人手术。截至目前,医院已完成各类骨科机器人手术1800多台,手术量稳居全国前列,积累了丰富的经验。
通过骨科机器人导航的精确操作,可有效减少对周围组织的损伤,更好地完成微创及精准手术,不仅缩短了手术时间、减少了术中出血,更加快了患者的康复速度,赢得了广大患者的广泛好评。今后,烟台山医院将持续深耕骨科微创智能化领域,不断精进技术,为群众提供更优质、高效、安全的医疗服务。